santé et soins de santé

Entorse Au Coude

De L Entorse Du Coude Par Abduction Forcee Avec Arrachement Du Ligament Lateral Interne Par Le Dr Paul Poirier Edition De 18 Broche Achat Livre Fnac

Blessure Et Douleur Du Coude Coudiere Tendinite Entorse Luxation Prevention Reeducation Sport Prix Pas Cher Cdiscount

Traitements De L Entorse Acromio Claviculaire Luxation Acromio Claviculaire

Jambe Genou Coude Soutien Bandes Bandage Attelle Compression Deformation Entorse Commune Exterieure D Urgence Protection De Traitement Aliexpress

1 Paire Anti Entorse De Tennis Volley Ball Coude Pad Respirant Unisexe Elbow Support Brace Elastique Poignet Sangles Fitness Bandage Aliexpress

Pieges En Orthopedie Ambulatoire Le Membre Superieur Revue Medicale Suisse

Marie Mahé, publié le samedi 07 mars à 11h30 Blessé mercredi, le Français Evan Fournier, pensionnaire du Magic d'Orlando, souffre d'une entorse à un coude et manquera au moins les deux.

Entorse au coude. Proposer comme traduction pour "entorse du coude" Il tiendra votre bras juste audessus du coude, ou posera parfois sa main sur votre épaule. Elle fait toujours suite à un choc. Gonflement modéré de l’articulation;.

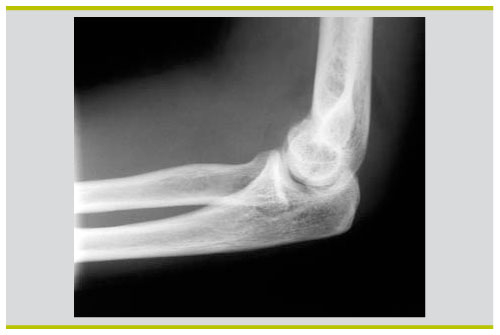
L'entorse du coude est la lésion des ligaments situées entre l'humérus et le cubitus au niveau du coude ou entre le radius et le cubitus Elle fait toujours suite à un choc, le plus souvent à la suite d'une chute sur la main le bras tendu, ou bien lors de la torsion excessive du bras Autre cas assez fréquent, le tirage du bras vers le haut, en particulier chez les petits enfants. Allongement de l'entorse du coude symptômes, traitement et causes L'articulation du coude d'un homme est une combinaison d'un os brachial et radial avec les coudes de l'avantbras Une rupture des ligaments de l'articulation du coude peut survenir à la suite de mouvements brusques produits lors d'une action. Entorse Causes Entorse de degrés 1 et 2 (ligaments étirés mais non déchirés ;.

Compression du nerf ulnaire au coude et au poignet Définition La compression du nerf ulnaire (nerf cubital) au coude est un syndrome canalaire neurologique du membre supérieur Il se manifeste principalement par des fourmillements (paresthésies) au niveau des quatrième et cinquième doigts Le traitement est souvent chirurgical. Marie Mahé, publié le samedi 07 mars à 11h30 Blessé mercredi, le Français Evan Fournier, pensionnaire du Magic d'Orlando, souffre d'une entorse à un coude et manquera au moins les deux. Comment reconnaître une entorse au poignet Les entorses au poignet sont des blessures relativement répandues, surtout chez les athlètes Cellesci se produisent lorsque les ligaments dans le poignet s'étirent trop loin, ce qui les amène à.

L’entorse est une lésion ligamentaire – un étirement – causée par un traumatisme Les ligaments sont des bandes de tissus fibreux élastiques qui relient les os entre eux dans les articulations Ils assurent la stabilité de l’articulation Un traumatisme peut distendre audelà de ses capacités un ligament C’est l’entorse. Proposer comme traduction pour "entorse du coude" Il tiendra votre bras juste audessus du coude, ou posera parfois sa main sur votre épaule. De très nombreux exemples de phrases traduites contenant "entorse du coude" – Dictionnaire anglaisfrançais et moteur de recherche de traductions anglaises Consulter Linguee;.

Il est important de différencier la contusion du coude, en particulier la blessure au coude chez l'enfant, des entorses, des dislocations et des fractures L'enfant est très clairement vu limiter les mouvements de flexionextension, le bras souvent blessé, il essaie de maintenir sa main, en plus d'un œdème osseux de coude cassé est. Fracture pilon tibial Fracture bimaléollaire avec luxation Fracture de la cheville Fracture tête radiale coude droit avec prothèse inerte Fracture du lifranc avec fracture déplacée du premier cunéiforme Marcher correctement apres fracture Tibia/Peroné Plus de sujets relatifs à. L’entorse légère Douleur immédiate, qui peut disparaître rapidement mais revenir de manière lancinante au bout de quelques heures Les mouvements sont possibles;.

Suggest as a translation of "entorse du coude" Il tiendra votre bras juste audessus du coude, ou posera parfois sa main sur votre épaule. En cas d’entorse grave, des troubles au niveau de la mobilité surviennent Des soins précoces s’imposent dans tous les cas pour permettre une guérison rapide Si votre articulation reste douloureuse pendant plus de 18 h, consultez rapidement un médecin Une radiographie permettra d’évaluer le degré de gravité de l’entorse. Entorse des doigts Les entorses du doigt sont des traumatismes fréquents, notamment chez les sportifs Elles correspondent à l’allongement d’un ligament qui peut aller jusqu’à la déchirure On parle alors d’entorse grave Le plus souvent le doigt se « retourne à l’envers », entraînant une déchirure de la plaque palmaire.

Phase aiguë Au cours des 3 jours (72 heures) qui suivent le traumatisme, le traitement de l'entorse repose sur le principe RGCÉ (repos, glace, compression, élévation) Le but de ce traitement. L'entorse du coude est la lésion des ligaments situées entre l'humérus et le cubitus au niveau du Hygroma Un hygroma est une inflammation de la bourse séreuse située au coude. Many translated example sentences containing "entorse du coude" – EnglishFrench dictionary and search engine for English translations Look up in Linguee;.

Tendinite / Entorse / Fracture au poignet droit?. Entorse du poignet Les lésions du poignet, et plus particulièrement l’entorse du poignet, sont relativement fréquentes lors de la pathologie du sportif L’entorse survient généralement à la suite d’une chute, que l’on aura tenté d’amortir avec les mains, provoquant ainsi une grosse pression sur les os du poignet. Ecchymose légère ou absente L’entorse moyenne Douleur plus importante que dans le cas d’une entorse légère Les mouvements.

Une coudière d'entorse du coude immobilise et procure le support nécessaire Le port d'une attelle coude permet au ligament de guérir après foulure Bas Prix. Coup d'arrêt pour Evan Fournier (27 ans) Mercredi dernier, durant la défaite des siens chez le Heat de Miami (), le basketteur NBA s'est fait une entorse au coude droit. L'entorse est une lésion très fréquente (environ 6000 nouveaux cas par jour en France) Elle représente, tous sports confondus, 15 à % des traumatismes sportifs.

Une entorse est un étirement ou une rupture d’un ou plusieurs ligaments En fonction de sa sévérité (modérée, moyenne ou grave), son traitement est très différent, allant de la simple immobilisation à la chirurgie Quel que soit le niveau de sévérité, après les premiers soins sur place, il est nécessaire de consulter un médecin qui déterminera la gravité et la prise en. L'entorse la plus fréquente survient au niveau de la cheville, mais peut aussi toucher le genou, le poignet, l'épaule Quels sont les premiers soins et les traitements ?. Les tendinites au coude ne touchent pas que les sportifs mais peuvent également survenir chez les personnes effectuant des mouvements répétitifs (menuisiers, maçons, jardiniers, etc) En effet, une sollicitation excessive des tendons entraîne des microt.

Entorses, luxations et instabilité du coude Olivier BarBier mettre une mobilisation dès les premiers jours est important pour obtenir audessus de la tête amènent des contraintes en valgus Le coude est soumis à des forces de déplacement postérieur par les muscles (biceps, brachial, triceps). Entorse au coude Avezvous une douleur au coude suite à un accident soit un coup ou une torsion La douleur peut être à l’intérieur, à l’extérieur ou diffuse au niveau du coude Il y a souvent présence d’enflure locale La douleur est augmentée aux mouvements du coude, lors de torsions, en prenant des objets ou en appliquant de la. Lorsque vous foulez votre coude , vous avez effectivement déchiré ou étiré un ligament Les ligaments sont des bandes de tissu qui relient les os les uns aux autres au niveau du joint Si vous avez une entorse du coude , vous avez probablement un gonflement et des ecchymoses dans ce domaine.

Les tendinites au coude ne touchent pas que les sportifs mais peuvent également survenir chez les personnes effectuant des mouvements répétitifs (menuisiers, maçons, jardiniers, etc) En effet, une sollicitation excessive des tendons entraîne des microt. Entorse au coude symptômes et informations L’entorse du coude désigne le fait que les ligaments du coude se déchirent ou se détendent, à la différence de la luxation du coude, qui signifie que l’os est déboîté de son articulation. Ligaments étirés et partiellement déchirés) Faux mouvements se fouler la cheville en marchant ou se tordre le pouce en jouant au ballon sont des exemples de faux mouvements responsables d'une entorse de degré 1 ou 2.

Entorse au coude Dernier message posté le 05/09/11 à 16h05 Pet68ks 05/09/11 à 16h05 Alerter Répondre Répondre à Pet68ks Copier le lien Le lien a été copié dans votre pressepapier Bonjour tout le monde Voila, je reviens d'une aprèsmidi où j'ai pratiqué du skate. "La mise au repos du coude est difficile " souligne le Dr Eric Noël " Dans de très rares cas, le coude doit être plâtré pour être au repos" expliquetil • Médicaments antidouleur La prise d'antalgiques permet d'atténuer la douleur, tout comme l'application de glace ou de gel antiinflammatoire. Les entorses endommagent les ligaments qui relient deux os entre eux, au niveau d’une articulation L’entorse cause des dommages aux articulations Les entorses peuvent arriver aux chiens sportifs qui sautent des obstacles, aussi bien qu’aux chiens non sportifs qui peuvent se blesser en sautant du canapé, ou si ils marchent dans un trou.

Un traumatisme isolé du coude doit faire rechercher une lésion associée à l’épaule, au bras, à l’avantbras et au poignet a) ostéoarticulaire b) vasculonerveuse Le coude doit être mobilisé précocement à cause du risque de raideur posttraumatique ou postopératoire 21 Luxation du coude. > au développement d’une l’arthropathie acromioclaviculaire Traitement chirurgical des entorses acromioclaviculaires de stade 4 et 5 Dans les stades 4 et 5 les l’ensemble des attaches ligamentaires sont rompues et entraîne une perte de contact entre acromion et clavicule. • au pli du coude (tendinite du biceps) • à l’arrière du coude (tendinite du triceps) Pour soigner une tendinite du coude, il faut appliquer les remèdes naturels suivants 1) Mettre au repos le coude et le poignet Pour commencer, vous devez arrêter toutes les activités augmentant la douleur.

Entorse du coude strapping Le docteur Philippe Chaduteau, médecin du sport explique que l'entorse du coude, relativement fréquente en traumatologie sportive peut, lorsqu'elle n'est pas grave bénéficier d'un strapping Il démontre l'exécution de ce strapping. Marie Mahé, publié le samedi 07 mars à 11h30 Blessé mercredi, le Français Evan Fournier, pensionnaire du Magic d'Orlando, souffre d'une entorse à un coude et manquera au moins les deux. Les fractures des doigts, de la main, de l’avantbras du coude du bras, de la clavicule et les luxations peuvent être immobilisées au moyen d’une écharpe simple ou triangulaire, d’attelle de fortune (revue, écorce d’arbre,) ou encore d’un teeshirt remonté sur le membre atteint (englober 2 articulations) Cette immobilisation peut être renforcée au moyen d’une contre.

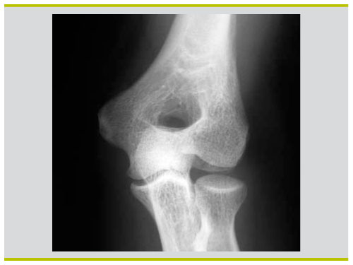
Examen clinique du coude pour entorse du ligament latéral interne https//wwwsportsanteconseilorg/support/helpus. L'entorse est un étirement ou une déchirure d'un ou de plusieurs ligaments d'une articulation Les principaux symptômes d'une entorse sont la douleur et l'inflammation locale puis un oedème, des spasmes peuvent aussi intervenir Dans tous les cas, c'est le froid qui est recommandé, il ne faut pas mettre de chaleur ni masser Mettez votre articulation et vos muscles alentour au repos et. Conduite à tenir (2) • Si le coude ne se reluxe pas en extension – Stabilité au testing • Attelle en flexion 90° pendant quelques jours puis rééducation – Instabilité au testing • Orthèse articulée maintenant l’avantbras en pronation • Si le coude se reluxe en extension – Immobilisation trois semaines en flexion.

Entorse au coude Avezvous une douleur au coude suite à un accident soit un coup ou une torsion La douleur peut être à l’intérieur, à l’extérieur ou diffuse au niveau du coude. L’entorse du coude est la lésion des ligaments situées entre l’humérus et l’ulna (cubitus) au niveau du coude ou entre le radius et l’ulna (cubitus) Si l’entorse est importante, cela peut aboutir à la luxation du coude Comment apparaît une entorse du ligament collatéral médial du coude?. Les tendinites au coude ne touchent pas que les sportifs mais peuvent également survenir chez les personnes effectuant des mouvements répétitifs (menuisiers, maçons, jardiniers, etc) En effet, une sollicitation excessive des tendons entraîne des microt.

En cas d’entorse modérée ou importante, il n’est pas rare qu’il y ait des séquelles, comme des douleurs ou une instabilité de la cheville Le risque de récidive est aussi plus élevé. De très nombreux exemples de phrases traduites contenant "entorse du coude" – Dictionnaire anglaisfrançais et moteur de recherche de traductions anglaises Consulter Linguee;. Entorse du coude élongation ou déchirure des ligaments, qui s'unissent et stabiliser le coude Bundles formation du tissu conjonctif, qui relient les os entre eux Médicament Tous les modes de vie au sujet de la santé et en bonne santé.

Strapping de reprise suite à une entorse du coude, avec attente du ligament latéral interne Une entorse ne doit pas être prise à la légère, faites vous suiv. Salut a tous j ai une question a vous poser Voila j ai une entorse du coude depuis une semaine et demi je suis platre pour l immobiliser et j ai toujours quelque douleur qui apparaissent normal mais des je ressent des vibration en voiture ou en bus ou meme la musique trop fort j ai des douleur plus fort voir violent et tres douloureuse j aimerai savoir si c est normal et que cela est du au. Entorse du coude élongation ou déchirure des ligaments, qui s'unissent et stabiliser le coude Bundles formation du tissu conjonctif, qui relient les os entre eux Médicament Tous les modes de vie au sujet de la santé et en bonne santé.

L'entorse la plus fréquente survient au niveau de la cheville, mais peut aussi toucher le genou, le poignet, l'épaule Quels sont les premiers soins et les traitements ?. L'entorse est un étirement ou une déchirure d'un ou de plusieurs ligaments d'une articulation Les principaux symptômes d'une entorse sont la douleur et l'inflammation locale puis un oedème, des spasmes peuvent aussi intervenir Dans tous les cas, c'est le froid qui est recommandé, il ne faut pas mettre de chaleur ni masser Mettez votre articulation et vos muscles alentour au repos et.

Wangxn Coude Support Fixe Attelle De Poignet Entorse Du Poignet Equipement De Protection Reglable Ortheses Du Membre Superieur Support Amazon Fr Sports Et Loisirs

Entorse Du Coude Symptomes Traitement Definition Docteurclic Com

Douleurs Du Coude Institut Kinesitherapie Paris

Sport Professionnel Enveloppement De Bandage Coude Poignet Genou Cheville Support Stabilisateur Entorse Souche Coude Et Genouilleres Sport Ceinture 180 Cm X 8 Cm Aliexpress

Comment Choisir Sa Coudiere Conseils Sante

140 Fracture De Coude Photos Libres De Droits Et Gratuites De Dreamstime

Mise En Place D Une Prothese De La Tete Radiale A Paris Dr Paillard

Sterogrip Elastique Support Entorse Bandage Bras Coude Genou Cheville Mollet D Ebay

Entorses Luxations

Attelle Coude Poignet Ranger Donjoy Djo

Entorse Echarpe Coude Au Corps

Le Platre Un Mal Parfois Necessaire

Fracture Du Coude Symptomes Traitement Definition Docteurclic Com

Sterogrip Elastique Support Entorse Bandage Bras Coude A Poignet Cheville Mollet Ebay

Entorse Metrage 1 052 Entorse Clips Video Dreamstime

Definition Symptomes Et Diagnostic De L Entorse Du Coude Dr Paillard

Coudiere Tendinite Femme Homme Attelle Coude Pour Entorse Arthrite Readaptation Post Blessure Neoprene Reglable En Compression Orthese Soutien Coude Pour Droit Et Gauche Amazon Fr Hygiasne Et Soins Du Corps

Comment Realiser Un Kinesio Tape Pour Une Tendinite Du Coude Epicondylite Ou Tennis Elbow Drsport

Maladies Du Coude Symptomes Et Traitement Doctissimo

Entorse Du Pouce Traitement Une Attelle D Immobilisation Est La Priorite

Traitements De L Entorse Acromio Claviculaire Luxation Acromio Claviculaire

Akbq Articulation Du Coude Support Fracture Du Coude Entorse Rehabilitation Articulation Du Coude Ligament Blessures Equipement De Protection Pour La Readaptation Post Operatoire Leftshoulder Amazon Fr Cuisine Maison

L Osteopathie Contre La Douleur Du Coude Consultez Un Specialiste A Paris Osteo Auteuil

Entorse Gravite Cause Et Traitement Conseils Sante

De L Entorse Du Coude Par Abduction Forcee Avec Arrachement Du Ligament Lateral Interne Par Le Dr Paul Poirier Gallica

Definition Symptomes Et Diagnostic De L Entorse Du Genou Dr Paillard

Entorse Chez Le Chien Comment L Aider Symptomes Soins

Support Pour Epaule Ajustable Avec Support Pour Epaule Et Bras Support Pour Entorse Du Coude Orthese Du Membre Superieur Amazon Fr Sports Et Loisirs

Les Blessures Communes Au Coude Et Comment Y Remedier Wodnews

Entorse Luxation Foulure Fracture Comment Immobiliser Un Traumatisme

Traumatologie Du Coude A Paris Institut De Kinesitherapie

Entorse Du Poignet Une Pathologie Courante Zoom Sur

Epingle Sur Huiles Essentielles

Comment Recuperer D Une Entorse A La Cheville

Doact Coudiere Chauffante Pour Homme Femme Support De Coude Electrique Attelle De Coude Reglable Pour Entorse Arthrite Readaptation Post Blessure Therapie Chaude Soutien Coude Droit Et Gauche Amazon Fr Hygiasne Et Soins Du Corps

Entorse Du Coude Symptomes Traitement Definition Docteurclic Com

Definition Symptomes Et Diagnostic De L Entorse Du Genou Dr Paillard

Le Coude Et Ses Ortheses Le Pharmacien De France Magazine

Entorse De La Cheville A Paris Les Generalites Dr Paillard

Luxation Symptomes Quels Traitements

Coudiere Tendinite Epicondylite Femme Homme Attelle Coude Pour Entorse Arthrite Readaptation Post Blessure Neoprene Reglable En Compression Orthese Soutien Coude Pour Droit Et Gauche Amazon Fr Hygiasne Et Soins Du Corps

Cheville Entorse Epaule Epaule Gelee Genou Poignet Coude Enghien Chiropratique Thierry Caris

L Entorse Acromio Claviculaire Clinique De L Epaule Du Coude

Entorse Bracelet De Compression

Tendinite Du Coude Epycondylite Comment La Soigner

Traitement Des Entorses Et Osteopathie

De L Entorse Du Coude Par Abduction Forcee Avec Arrachement Du Ligament Lateral Interne Broche Paul Julien Poirier Achat Livre Fnac

Traumatologist Bandant Le Coude Patient Premiers Secours Pour L Entorse Dans La Clinique De Traumatisme Image Stock Image Du Secours Patient

Et Un Petit Tour Aux Urgences

Compex Tape Application Coude Youtube

Coudiere Tendinite Chauffee Neoprene Reglable Electrique Attelle Coude Pour Entorse Arthrite Readaptation Post Blessure Homme Femme Therapie Chaude Orthese Soutien Coude Pour Droit Et Gauche Amazon Fr Hygiasne Et Soins Du Corps

Faire Un Strap Ou Un Strapping Le Blog De Click

Fracture De L Avant Bras A Paris Institut De Kinesitherapie

Comment Realiser Un Strapping Pour Une Entorse Du Pouce Drsport

Definition Symptomes Et Diagnostic De L Entorse De Cheville Dr Paillard

Soigner Une Tendinite Et Une Entorse Sans Medicament Stephanie Jan

Comment Realiser Un Kinesio Tape Pour Une Tendinite Du Coude Epicondylite Ou Tennis Elbow Drsport

140 Fracture De Coude Photos Libres De Droits Et Gratuites De Dreamstime

Blessure Et Douleur Du Coude Coudiere Tendinite Entorse Luxation Prevention Reeducation Sport Prix Pas Cher Cdiscount

Entorse Orthese De Coude Articulee

Que Faut Il Savoir De La Bursite Et Comment Peut On La Soigner Clinique Chiropratique Sillery Chiro A Ste Foy Quebecclinique Chiropratique Sillery Chiro A Ste Foy Quebec

Entorse Du Coude Symptomes Traitement Definition Docteurclic Com

Entorse Du Genou Zoom Sur Le Genou

Wy Elbow Coudiere Pour Tendinite Tendinite Coude Pour Entorse Soulagement Des Douleurs Articulaires Tendinite Traitement Du Coude Du Golfeur S Amazon Fr Jardin

Entorse Du Coude Symptomes Traitement Definition Docteurclic Com

Definition Symptomes Et Diagnostic De L Entorse Du Genou Dr Paillard

Un Medecin Du Sport Vous Informe Le Coude Traumatique Du Sportif

Luxation Du Coude A Paris Institut De Kinesitherapie

Coude Traumatique Mandragore Medecine D Urgence

Professionnel Sport Bandage Wrap Coude Poignet Genou Cheville Soutien Stabilisateur Entorse Strain Coude Et Genouilleres Sport Ceinture 0 Cm X 8 Cm Aliexpress

Definition Symptomes Et Diagnostic De L Entorse Du Coude Dr Paillard

Protection Coude Coudiere De Contention Blessure Tendinite Entorse Ebay

Autres Coudiere De Maintien Blessures Du Coude Luxation Douleurs Entorse Tendine Sitionovodia Com Br

Sequelles De Luxation

Faire Des Seances D Oxygenotherapie En Caisson Hyperbare Sur Toulon Pour Une Entorse Du Coude Centre D Oxygenotherapie Hyperbare Et De Bien Etre A Toulon Mon Oxygene Hyper Barre

Entorses Symptomes Traitement Definition Docteurclic Com

Pieges En Orthopedie Ambulatoire Le Membre Superieur Revue Medicale Suisse

Entorse Comment Soigner Une Entorse Duree Du Traitement

Http Media Summitmedicalgroup Com Media Db Relayhealth Images Xulcoelb 1 Jpg Repinned By Pt Elbow Exercises Hand Therapy Exercises Rehabilitation Exercises

Coude Traumatique Mandragore Medecine D Urgence

Traumatologie Entorses Luxations

Coudiere Tendinite Epicondylite Femme Homme Attelle Coude Pour Entorse Arthrite Readaptation Post Blessure Neoprene Reglable En Compression Orthese Soutien Coude Pour Droit Et Gauche Amazon Fr Hygiasne Et Soins Du Corps

Strapp Reprise Lli Coude Youtube

Je Souffre D Une Entorse Du Genou Centre Polyvalent De Sante Universitaire

Comment Realiser Un Kinesio Tape Pour Une Tendinite Du Coude Epicondylite Ou Tennis Elbow Drsport

Entorse Du Lli Du Coude Youtube

Entorse Ou Fracture Du Coude Rando Trek Montagne Symptomes Traitement Definition Docteurclic Com

Luxation Du Coude Quel Traitement Institut De Kinesitherapie Paris

Entorse Du Coude Symptomes Traitement Definition Docteurclic Com

Comment Choisir Sa Coudiere Conseils Sante

Genouilliere De Maintien Renforcee Kine Protection Entorse Sport Bandage Coude Ebay

Photos Scenar En Fr

Entorse Doigt Attelle Urgences Main Paris Docteur Thomas Waitzenegger Chirurgie Epaule Chirurgie Main Chirurgie Coude Paris 16 Longjumeau Chirurgie Epaule Main Paris 91